Straighten, Align and Improve Your Smile
We offer orthodontic treatments to correct misaligned teeth, bite issues, and spacing concerns.
Using modern, discreet options where possible, treatment is tailored to your individual needs, improving both the appearance of your smile and how your teeth function day to day.
A well-aligned smile can make cleaning easier, reduce uneven wear, and support long-term dental health.
Children's Orthodontics
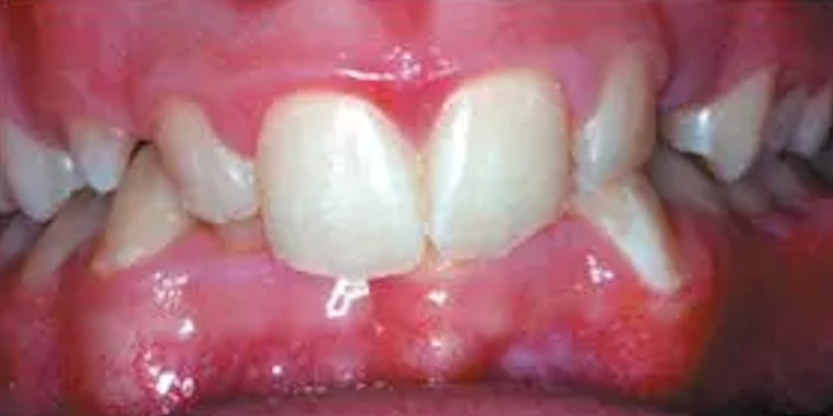
Children may need orthodontic treatment for various reasons, such as crooked, overlapping, overcrowded teeth, or bite issues like overbite or underbite (malocclusion).
Most children typically begin treatment around the ages of 12 or 13, once their permanent teeth have come in. However, in some cases, it may be beneficial to start treatment earlier, from age 8 onwards, if your dentist feels an earlier referral is appropriate.
When you visit us, we will assess the alignment of your child’s teeth and advise whether orthodontic treatment would be beneficial. Orthodontic care often involves wearing braces, either fixed or removable, and in some cases, may require the removal of certain teeth.
Beyond creating beautiful smiles, orthodontic treatment significantly improves oral health. Straight, properly aligned teeth make it easier to chew, improve speech clarity, and can even help in reducing snoring.
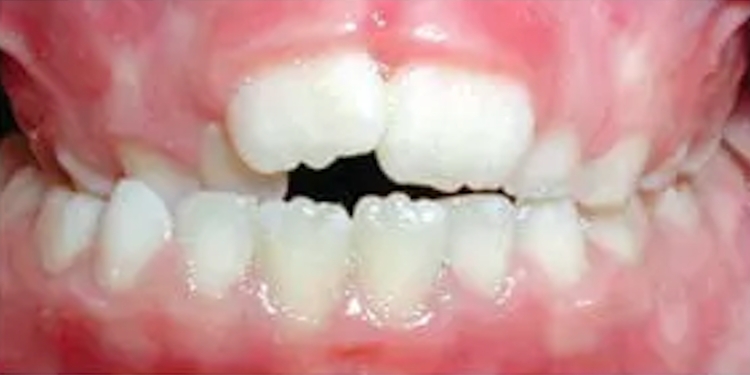
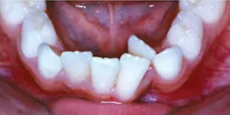
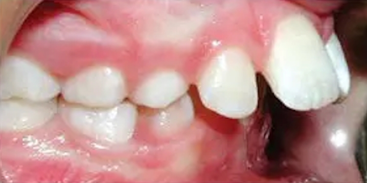
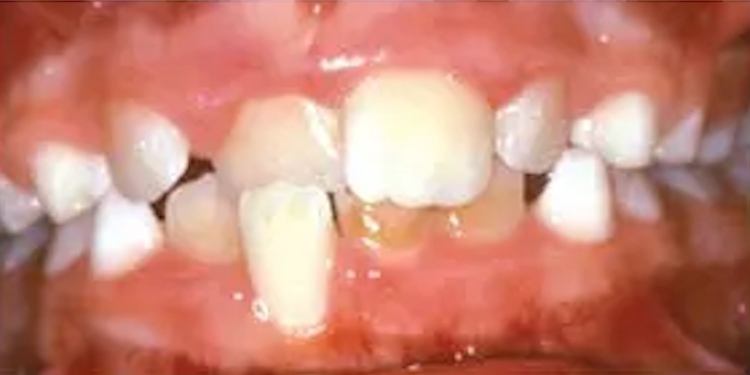
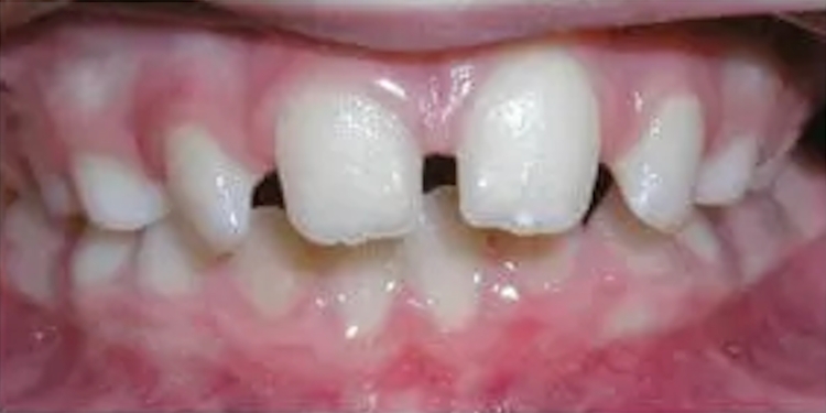
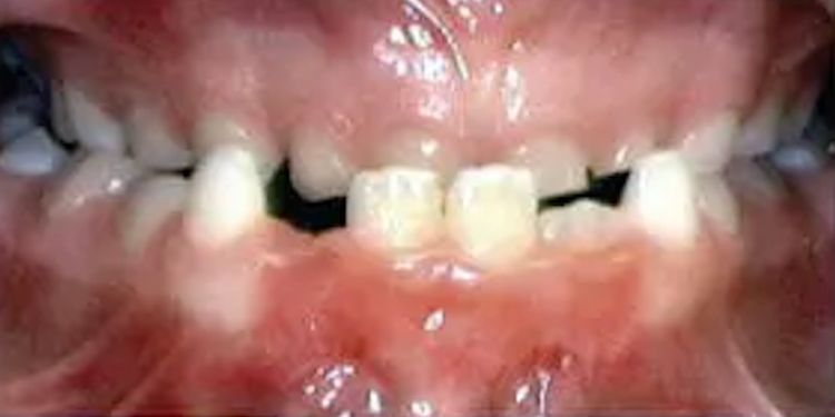
Nine dental problems to watch for in growing children
Crossbite of the Front Teeth
Top teeth are behind the bottom teeth
Crossbite of the Back Teeth
Top teeth are to the inside of the bottom teeth
Crowding
Open Bite
Front teeth do not meet when back teeth are closed
Protrusion
Deep Bite
Underbite
The lower teeth sit in front of upper teeth when back teeth are closed
Spacing
Oral Habits
Sucking on thumb or fingers
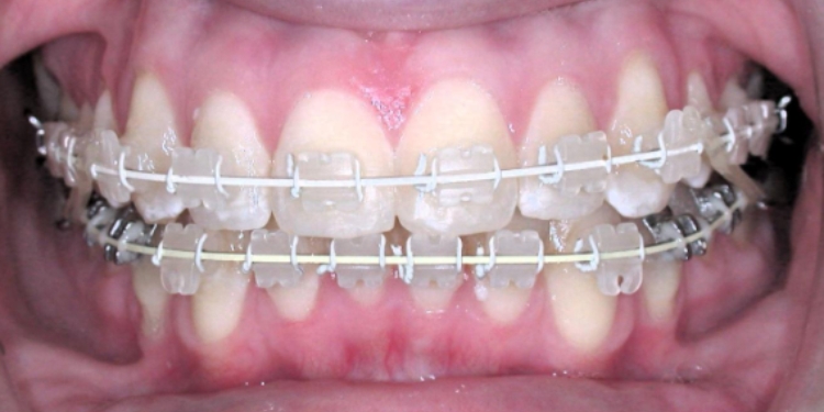
Fixed Braces for Adults
Fixed braces use small metal or tooth-colored brackets attached to each tooth, connected by a wire that helps move the teeth into the correct position. They are highly effective for addressing both tooth alignment and bite issues, particularly for more complex three-dimensional movements. However, they can feel a bit bulky and require extra care with oral hygiene. Fixed braces also demand self-discipline, as they limit what you can eat.
Thanks to high-quality ceramic and coated materials, our fixed braces are barely noticeable in most adults’ mouths. Treatment with fixed braces usually takes between 9 and 15 months to achieve the best results, as they address more than just the front teeth to ensure maximum benefit. We don’t offer ‘6-month’ or ‘fast brace’ treatments, as these options are not as comprehensive or effective as often advertised.
Aligner Braces for Adults

Orthodontic aligners are clear, plastic trays that are typically worn for about one week each. They work by gradually applying controlled pressure to move the teeth into their desired positions. While Invisalign™ is the original and most well-known brand, it follows a more standardised, mass-production approach rather than being tailored to the individual patient. In fact, the core technology behind aligners hasn’t changed much since they were first introduced in 1998.
Thankfully, there are now more companies offering aligner treatments, allowing for more specialised and personalised approaches. We use our expertise to identify any limitations of aligners and incorporate this understanding into your customised treatment plan to ensure the best possible outcome.
Book Your Consultation Today
If you’re considering orthodontic treatment, our team is here to guide you through your options and create a plan that suits your needs.
Book a consultation to get clear, expert advice and take the first step towards a healthier, more balanced smile.

What to Expect at Your First Appointment with Serpentine Green Dental
Find out what to expect at your first appointment with Serpentine Green Dental, from your initial examination to your personalised treatment plan.